登录
返回列表 >

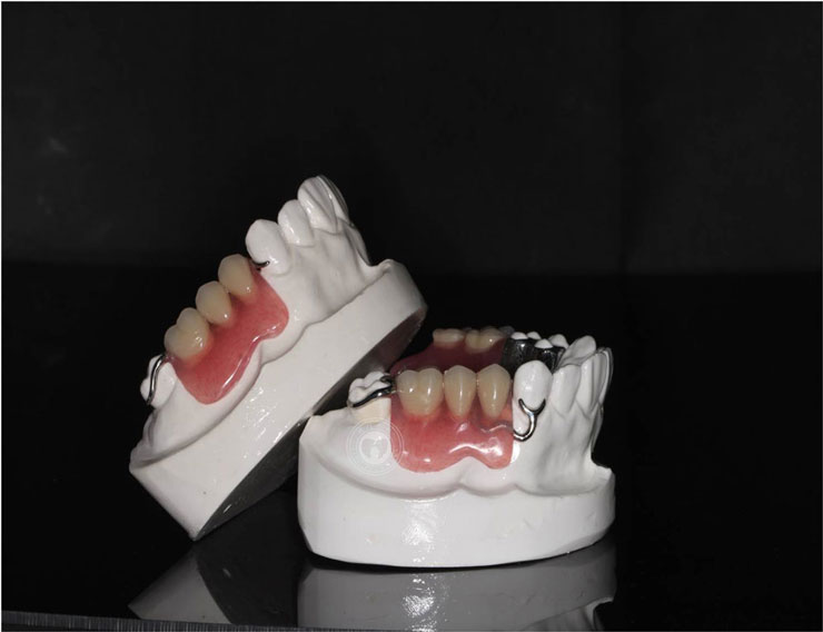
活动义齿美学修复——e卡美学支架,让你展现自信笑容

发布人: 发布时间:2019-07-05

靖佳齿科专利技术产品e卡美学支架,是四川华西口腔医院于海洋教授多年研究的“美观卡环修复技术”在靖佳齿科成功实施转化而成的产品。与传统支架不同,e卡美学支架在原料中加入钼元素,极大地提升合金的强度和韧度,通过力学原理在特定美学区域设计卡环,兼顾美观和功能,保证患者外在形象及长久舒适使用,是力量与美学的精巧设计。

于海洋教授的美观卡环修复技术颠覆传统的美观卡环设计理念,也成就了靖佳e卡美学支架产品,e卡美学支架产品也在患者活动义齿修复中达到患者想要的美学效果。在2016年靖佳齿科客户答谢会上,于海洋教授亲自做了详细的技术演讲,让靖佳更好的帮助广大牙科医生提供产品技术服务。



上一篇:没有了 下一篇:没有了
返回列表 >
靖佳齿科技术中心
登录靖佳齿科帐号 没有帐号,免费注册
忘记密码?
靖佳齿科技术中心
注册靖佳齿科帐号 已有账号,立即登录
靖佳齿科技术中心